

- 歯科治療再発率0%を追求するTHP(トータルヘルスプログラム)
- フジテレビさんで取り上げられた根本的歯周病治療
- THPの症例
- KEEP 28とは?
- 予防歯科メインテナンスの重要性
- 大人の予防歯科メインテナンス
- 子どもの予防歯科メインテナンス
- 自宅でできる予防歯科ケア
- THP・予防歯科メインテナンスQ&A
歯科治療再発率0%を追求するTHP(トータルヘルスプログラム)

THPとは?
THP(トータルヘルスプログラム)は、むし歯や歯周病の「原因菌」を徹底的にコントロールし、再発を限りなくゼロに近づけることを目的とした先進的な予防管理プログラムです。
従来の「悪くなった部分を治す治療」から一歩進み、口腔内の環境そのものを健康な状態へ導くことで、治療後も長く安定した状態を維持することを目指します。
細菌叢の変化に着目した治療
当院では2018年より、THPを受けた患者様の口腔内および腸内の細菌叢の変化を研究してきました。その結果、むし歯や歯周病に関与する“悪玉菌”が大幅に減少し、健康な人が持つ細菌叢に近づくことが確認されています。
一方で、身体に良い働きをする菌にはほとんど影響を与えず、良好なバランスを保ったまま病原菌を減らせることが大きな特徴です。
全身の健康にもつながるプログラム
近年、歯周病菌が血液を介して心臓病や糖尿病などに関与することが明らかになっています。THPは口腔内の菌をコントロールすることで、結果として腸内環境の改善や全身疾患リスクの軽減にもつながることが研究から示されています。
実際にプログラムを受けられた患者様の中には、
・健診での血糖値や血圧の改善が見られた
・人間ドックの数値が良好になった
などの変化を感じられた方もいらっしゃいます。
もちろん個人差はありますが、「お口の健康」が「全身の健康」と深く関係していることを実感できる事例といえます。
再発率0%を目指して
「治療してもまた再発してしまうのでは…」という不安を抱える患者様は少なくありません。THPは、そうした不安を根本から取り除くために生まれたプログラムです。
むし歯や歯周病の原因に直接働きかけ、再発を防ぎながら健康な状態を長く維持することを目指します。
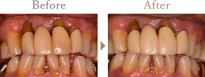
フジテレビさんで取り上げられた根本的歯周病治療
THPの症例


| 主訴 | 健康な細菌叢の獲得・維持を希望 |
|---|---|
| 年齢 | 60代 |
| 性別 | 男性 |
| 治療内容 | 左上歯ぐきが腫れていて、歯もぐらぐらする。歯周病治療をしたいと当院に来院され、トータルヘルスプログラムを実施。 |
| 治療期間 | 53日 |
| 治療費 | 195,800円(税込) |
| リスク | 健康な細菌叢を維持するために、 定期予防メインテナンスが推奨される。 |
| 担当DH | DH 霜島 |


| 主訴 | 健康な細菌叢の獲得・維持を希望 |
|---|---|
| 年齢 | 30代 |
| 性別 | 女性 |
| 治療内容 | 初心検査時には歯周ポケット4mm以上が17%あり、BOPは47%、上顎前歯は動揺度Ⅱの箇所もあり、位相差顕微鏡像では活動性の高い歯周病菌が確認できます。 |
| 治療期間 | 64日 |
| 治療費 | 184,800円(税込) |
| リスク | 健康な細菌叢を維持するために、 定期予防メインテナンスが推奨される。 |
| 担当DH | DH 佐々木 |

KEEP 28とは?

「KEEP 28(キープ28)」は、生涯28本の永久歯をできるかぎり健康に保つことをめざす考え方です。むし歯や歯周病が起きてから治療するのではなく、病気が起こる前に原因を見つけてコントロールする“予防中心”の発想が土台にあります。
かつては「80歳で20本」を目標にした取り組み(8020)で大きな成果が生まれました。私たちが目指すKEEP 28は、より長く健康寿命がのびる時代に合わせ、さらに一歩進んだ目標です。もちろん、年齢・既往・生活背景によって状況は異なります。大切なのは、いま持っている歯を1本でも多く、できるだけ長く守るための行動を今日から始めることです。
予防歯科メインテナンスの重要性
つじむら歯科医院の予防歯科のコンセプトは、次の4つです。
- 子どもの頃から予防に取り組むこと
- 必要な際は口腔内環境をリセットしてから予防をはじめること
- 定期的に歯科ドックを行ない内容を見直すこと
- お口の健康から全身の健康へに貢献すること

メインテナンス注意事項
※むし歯・歯周病の再発抑制、発病前予防管理に重点をおいて予防歯科メインテナンスを行っていますが、個々のリスクによりむし歯・歯周病が発症しないというわけではありません。
※治療が必要な場合は別途費用が必要となります。
子どもの頃から予防に取り組むこと
むし歯に関わるミュータンス菌の感染は歯が見えてから2歳7ヶ月までの間に主に生じるといわれています。
また歯磨きの習慣は身支度の一環として子どもの時期から練習します。
そのため、子どものころから定期的に予防歯科メインテナンスを続けている方はそうではない方に比べて多くの歯を残せることがわかっています。
むし歯を削る治療は大人でも怖い体験です。子どもの頃からしっかり予防に取り組み、むし歯のないカリエスフリーの状態を目指しましょう。
また「マイナス1歳からの予防」として赤ちゃんを迎える前の段階から取り組むこともできます。気になる方はぜひスタッフまでお声掛けください。
※むし歯・歯周病の再発抑制、発病前予防管理に重点をおいて予防歯科メインテナンスを行っていますが、個々のリスクによりむし歯・歯周病が発症しないというわけではありません。
※治療が必要な場合は別途費用が必要となります。
必要な際は口腔内環境をリセットしてから予防をはじめること
予防は大切ですが、特に大人の場合、口腔内環境が乱れているところから予防をはじめてもあまり効果が出ない場合があります。
まずは検査を受けて口腔内のリスクを調べましょう。
そして必要な際は環境改善のプログラムをお受けください。
THP(トータルヘルスプログラム)で一度改善されたお口の中は、健康的な生活習慣と歯科医院でのメインテナンスを継続 することで、非常に特殊なケースを除いて、むし歯の再発や歯周病の再発のリスクを抑える ことができます。
定期的に歯科ドックを行ない内容を見直すこと
長くお通いいただく中で体質やライフスタイルが変化するため、同じ予防プログラムでは十分な効果が得られないことがあります。
そのためつじむら歯科医院では、患者様それぞれに適した予防プログラムを作成するために、予防歯科メインテナンスの中で定期的な検査を行って います。
また、ひとりの患者様に対して同じ歯科衛生士が担当することで、経過を追いながらサポートいたします。
お口の健康から全身の健康へに貢献すること
歯の健康と全身の健康は、密接に関係しています。
例えば、咀嚼能力が低下すると、よく噛まずに飲み込むことで胃腸に負担がかかります。
さらに、歯周病菌が血管に侵入すると、動脈硬化や糖尿病などのリスクを高めるともいわれているなど、歯と全身の健康は直結しているといっても過言ではありません。
私達もただクリーニングをするのではなく、健康のためのパートナーとして施術を行っていまいります。
大人の予防歯科メインテナンス
THP(トータルヘルスプログラム)を終了された患者様専用の予防歯科メインテナンスです。
このコースの大きな目的は口腔内細菌叢の安定であり、歯周病菌の再感染を抑制することです。
その方のリスクに応じて1~3ヶ月毎にご利用いただいています。
また次にご紹介するHIPコース、HATコースをお受けいただいた時に限り、歯ブラシなどの予防グッズが特別価格でご購入いただけます。
ご自身に合ったホームケアを担当歯科衛生士とご相談ください。
なおリスク管理のため年に1回無料で歯科ドック(唾液検査、歯周組織精密検査、位相差顕微鏡検査、レントゲン、口腔内写真)をおこない予防歯科メインテナンスの内容を再検討します。
- 唾液検査
- 歯周組織精密検査
- 位相差顕微鏡検査
- レントゲン(パントモ)撮影
- 口腔内写真
- ガスクロマトグラフ
※上記の予防歯科メインテナンスコースでは1年に一度以下の口腔内基本検査を無料で実施いたします。
HIPコース

歯周病細菌の再感染予防を目的としています。
口腔内機能水を使用し口腔内全体を洗浄します。
歯の表面についた汚れや細菌の住みかとなるバイオフィルムを除去します。
さらに一歯ずつ丁寧に歯面を整えます。
メインテナンス後にはお口の中がさっぱりとして、歯がつるつるしていることが実感いただけます。
HATコース
HIPコースの効果にアンチエイジングのエッセンスをプラスしたコースです。
その特徴として口腔内専用のアロマオイルを使用した口腔粘膜のマッサージ(マニピュレーションケア)があげられます。
意識しないうちに緊張することでできるこりを抗酸化力に優れた香りの良いアロマオイルで丁寧にほぐします。
また着色を落とすことに優れたパウダークリーニングを取り入れています。
メインテナンスチケット
つじむら歯科医院ではHIPコース、HATコースのそれぞれのメインテナンスにお得で便利な6枚つづりのチケットをご用意しています。詳しくは担当衛生士にお声かけください。
チケット特典
- 平日に加え、土曜日もメインテナンスのご予約が可能となります。
- 優先的に2回先までのご予約がいただけます。
- チケットの有効期限内であればポリリン酸プラチナホワイトニング(オフィスホワイトニング)が特別価格でお受け頂けます。
注意事項
チケットは、ご本人のみに有効とさせて頂きます。
ご予約日の1週間前以降の変更キャンセルの場合は1枚のチケットが消却されます。
チケットの紛失を防止するため保管は担当歯科衛生士が行います。)
チケットの使用期限は1枚目使用日から1年6カ月となります。
購入されたチケットの払い戻しは致しかねます。
子どもの予防歯科メインテナンス(0~12才)
HKコース

6歳未満のお子様を対象とした、1~3ヵ月ごとに行うコースです。
永久歯が萌出する前の 乳歯列は永久歯列完成期(12歳時)にカリエスフリー(虫歯の全くない状態)を達成するためのとても重要な時期だと言えます。
プロフェッショナルケアに加え、仕上げ磨きのアドバイスなども行います。
※0歳から3歳までのむし歯のないお子様にはてんとうむしくらぶがご利用いただけます。
HKSコース

12歳までのお子様を対象とした、1~3ヵ月ごとに行うコースです。
6歳臼歯(第一大臼歯)が出てくるタイミングでこちらのコースへ移行いただきます。
HKコースとの一番の違いはより専門的な歯面清掃「PMTC」にあります。
PMTCを行うことで直接原因菌を減らします。
また自分で仕上げ磨きを卒業する時期でもありますので、自分でホームケアを行えるように支援します。
自宅でできる予防歯科ケア

食生活と虫歯予防の関係
私たちのお口の中では、食事のたびに虫歯菌が糖分を分解して酸を作り出し、その酸によって歯の表面は一時的に溶かされます。しかし、唾液にはその酸を中和し、歯の表面を修復する力(再石灰化)が備わっています。
ところが、飲食の回数が多かったり、砂糖を含む食品を長時間だらだらと摂取していると、修復のチャンスが失われ、結果として虫歯ができやすくなります。
虫歯菌が好む食べ物とは?
虫歯菌の栄養源となるのは「糖質」です。糖質は砂糖だけでなく、米やパン、麺類など炭水化物全般にも含まれています。甘くなくても虫歯菌のエサとなり得るため、食べ方や回数を工夫することが大切です。
間食の工夫で歯を守る
おやつは時間を決めて摂ることが理想的です。だらだらと長時間食べ続けるのではなく、メリハリをつけて摂取することで唾液による修復が追いつきやすくなります。
また、キシリトール入りのガムやタブレットなど、虫歯予防効果が科学的に認められている製品を活用するのもおすすめです。信頼性の高いマークが表示された製品を選ぶと安心です。
正しい歯磨きの基本
・奥歯の噛む面:
歯ブラシをまっすぐ当て、溝の汚れをかき出すように細かく動かす
・歯と歯ぐきの境目:
歯ブラシを45度に当て、軽い力で小刻みに動かす
・前歯の裏側:
歯ブラシを縦に入れ、上下に動かして磨く
※歯磨きをしっかりしても、歯ブラシだけでは歯と歯の間の汚れ(プラーク)を完全に落とすことはできません。そのため、補助清掃具の使用が欠かせません。
補助清掃具の活用
デンタルフロス:
糸を歯の側面に沿わせながら、前後にゆっくり動かして使用します。初心者の方には、持ちやすいホルダー付きフロスがおすすめです。
歯間ブラシ・ワンタフトブラシ:
歯と歯のすき間が大きい部分や、歯並びの関係で歯ブラシが届きにくい部分には、歯間ブラシやワンタフトブラシが効果的です。
ホームケアで使いたいアイテム
歯磨剤(歯磨き粉):
歯磨剤は、汚れを落とすだけでなく、虫歯・歯周病予防に役立つ薬用成分を歯や歯ぐきに届ける役割も果たします。特に、フッ素配合のものは虫歯予防に効果的です。
洗口剤(マウスウォッシュ):
歯ブラシの届きにくい歯間部や歯ぐきの境目に存在する細菌を減らすことができます。 ・プラークをつきにくくする
・虫歯・歯周病・口臭の予防につながる
特にフッ素入り洗口剤は虫歯予防効果が高いため、お子さまや虫歯リスクが高い方におすすめです。
歯磨き粉の使い方のポイント
1. 歯ブラシに1cm以上(約1g)の歯磨剤をのせる(6歳未満は5mm程度が目安)。
2. 磨き始める前に歯磨剤を口全体に広げてから磨く。
3. 磨き終わったら歯磨剤を吐き出し、少量の水(約5~10ml)で30秒間1回だけすすぐ。
※フッ素が歯面にとどまりやすくなり、予防効果が高まります。
THP・予防歯科メインテナンスQ&A

Q1. THP(トータルヘルスプログラム)とは何ですか?通常の治療と何が違うのですか?
THPは、むし歯や歯周病の原因となる「菌」に直接アプローチし、再発を限りなくゼロに近づけることを目的とした予防管理プログラムです。
従来の「悪くなった部分を治す」治療とは異なり、口腔内環境を根本から整えることで、治療後も安定した状態を維持しやすくなります。位相差顕微鏡による細菌検査や、必要に応じた薬剤使用、バイオフィルムの徹底除去などを組み合わせたオーダーメイドのプログラムです。
Q2. THPはどんな方におすすめですか?受けられないケースはありますか?
むし歯や歯周病を繰り返してしまう方、治療を受けても「また悪くなるのでは」と不安をお持ちの方に特におすすめです。
ただし、全身疾患のある方や妊娠中の方、特定の薬を服用されている方は事前に申告が必要です。内容によっては施術方法を調整することもありますので、まずはご相談ください。
Q3.どんな検査をしますか?時間はどれくらいかかりますか?
THPでは、唾液検査・歯周組織精密検査・位相差顕微鏡検査・レントゲン撮影・口腔内写真撮影などを行い、お口の状態を多角的に把握します。必要に応じてCT検査を追加することもあります。初回はおよそ1時間前後を目安にしていただけます。結果は写真やグラフを用いた「見える化レポート」でわかりやすくご説明いたします。
Q4.本当に再発を抑えられるのですか?根拠はありますか?
当院では2018年から研究を行い、THPによってむし歯や歯周病に関わる悪玉菌が大幅に減少し、健康な人の細菌叢に近づくことを確認しています。さらに腸内環境への良い影響も見られるなど、全身の健康にも関わることが示唆されています。
ただし、効果には個人差があり「絶対に再発しない」という保証はできません。そのため、治療後の定期的なメインテナンスが欠かせません。
Q5.費用や通院回数はどのくらいですか?保険は使えますか?
THPは保険診療と自由診療を組み合わせて行います。検査内容やリスクにより費用は変わりますが、事前にお見積りと通院スケジュールを丁寧にご案内いたします。通院回数はお口の状態によって異なりますが、無理のないペースで進めていただけるよう配慮いたします。
Q6.痛みはありますか?薬は必ず使うのですか?
THPの処置は基本的に大きな痛みを伴いません。ただし炎症が強い部分では軽い違和感が出ることがあります。抗菌薬の使用は“必要な場合のみ”であり、すべての方に使用するわけではありません。副作用や服薬中の薬との相互作用についても確認を行いますのでご安心ください。
Q7.THP後のメインテナンスはどのくらいの間隔で行いますか?
基本は1〜3か月ごとの通院をおすすめしています。
・HIPコース:
口腔内機能水による洗浄、バイオフィルム除去、歯面研磨を行い、再感染を予防します。
・HATコース:
HIPに加え、アロマオイルによる粘膜マッサージやパウダークリーニングを組み合わせ、アンチエイジング効果も期待できます。
患者様のリスクや生活習慣に合わせて担当衛生士がご提案いたします。
Q8.子どもの予防歯科メインテナンスはどんなことをしますか?
・HKコース(0〜6歳未満):
仕上げ磨きの指導やプロフェッショナルケアを通じて、むし歯ゼロを目指します。
・HKSコース(〜12歳):
PMTC(専門的歯面清掃)を取り入れ、自分で行う歯磨きの習慣化を支援します。
むし歯菌の感染は2歳半頃までが重要な時期と言われています。早い時期からの取り組みが、将来の「カリエスフリー」につながります。
Q9.KEEP28とは何ですか?8020との違いは?
「KEEP28」とは、生涯28本の永久歯をできるだけ健康に保つことを目指す考え方です。従来の「80歳で20本残す(8020)」からさらに一歩進み、人生100年時代に合わせた新しい目標といえます。THPや歯科ドック、定期的なメインテナンスの組み合わせが、KEEP28実現のカギとなります。
Q10.自宅でできる再発予防には何がありますか?
日常のセルフケアがとても重要です。
・食生活:間食は時間を決め、だらだら食いを避けましょう。
・歯磨き:フッ素配合歯磨剤を適量使い、磨き終わりは少量の水で1回だけすすぐと効果的です。
・補助清掃具:フロスや歯間ブラシを使い分けることで、歯ブラシだけでは届かない汚れを除去できます。
・洗口剤:フッ素入りのものは特に虫歯予防効果が高く、口臭や歯周病予防にも役立ちます。























